〒639-0212 奈良県北葛城郡上牧町服部台4-5-1
「王寺駅」下牧南口下車 徒歩5分、「五位堂駅」服部下車 徒歩2分
「香芝IC」車7分、「法隆寺IC」車10分
奈良市内、香芝市、大和高田市、上牧町、王寺町、広陵町、河合町から車15分

電話での問合せ・無料相談予約

0120-836-922
診療時間
月曜・火曜・金曜  9:30~13:00/14:30~20:00
水曜・土曜 9:00~13:00/14:00~18:00
休診日 
木曜・日曜・祝日

矯正歯科治療の流れ

「どんな風に治療が進むんだろう?」そんな不安はありませんか?こちらでは、当院の矯正歯科治療の流れについて、ご説明いたします。

 

無料相談・カウンセリング
(30分程度)

まずは無料相談にいらしてください。院長とトリートメントコーディネーター(TC)が、カウンセリングルームでお悩みをじっくりお聞きします。

歯並びや噛み合わせに関する疑問、理想とする歯並びのイメージなど、どんなことでもお話しください。

その後、お口の中を丁寧に診査し、口腔内スキャナー「iTero」を用いて歯のデジタルスキャンを実施。どんな風に歯並びが改善するかの簡易シミュレーションをご確認いただけます。

カウンセリングの段階で大体の治療費期間についてもご案内いたします。ご質問にもお答えしますので、疑問点はお気軽にお尋ねください。

なお、医院の予約状況に余裕がある場合は、ご希望により当日さらに30分ほど時間を延長して、精密検査まで実施することも可能です。

ご契約

治療内容や費用についてご同意いただけましたらご契約へと進みます。

治療費のお支払いについては、一括払いのほか分割払い(デンタルローン)もご利用可能です。ご家計に負担のないプランをお選びいただけるよう、ご希望に合ったお支払い方法をご提案いたします。

精密検査
(30分程度)

患者さまにとってベストな治療計画を立案するため、詳細なデータを収集します。

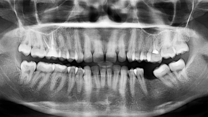
レントゲン

上下の歯列全体を一枚の画像で撮影します。歯の位置関係や親知らずの状態、これまでの治療痕など、お口全体のデータを取得するための基本的な検査です。

 
歯科用CT

通常のレントゲンでは見えない骨の厚みや歯根の形状、あごの骨の状態などを、三次元画像で詳しく診査するための検査です。

この検査を省略する歯科医院も少なくありませんが、患者さまに最適な治療計画を立てるためには詳細なデータが欠かせないと考え、当院ではCT撮影も実施しています。

 

そのほか、以下の検査も行います。

  • お顔とお口の中の写真撮影
  • 口腔内スキャナー「iTero」を用いた歯のスキャン
  • アルジネート(お口の型どり材)による印象採得

精密検査で得たデータを活用し、患者さまにとって安全効果的な治療計画の立案を目指します。

クリンチェックの説明

検査から約1か月後、治療計画(クリンチェック)について詳しくご説明します。

治療計画は、院長が一本一本の歯の動きを0.1mm単位で細かく調整します。インビザライン矯正に導入されたAIに依存することはなく、経験と専門知識を活かした人の手による調整を大切にしているのが当院の特徴です。

計画についてご説明する際は、コンピューター上のシミュレーション動画を使って、歯がどのように動いていくのかを視覚的にお伝えします。ご希望や疑問点を踏まえて、必要があればその場で治療計画を調整することも可能です。

また、より具体的な治療費期間についてもご案内します。不明点がございましたら、どうぞご遠慮なくお声がけください。

治療開始

ご契約から約1か月後、オーダーメイドのマウスピースをお渡しし、いよいよ治療がスタートします。

効果的な治療のためには、1日22時間以上のマウスピース装着が基本です。食事と歯磨き以外は常に装着してください。

また、マウスピースは1週間ごとに新しいものに交換していきます。

使用方法や注意点について、最初のお渡し時に詳しくご説明いたしますので、ご不安な点はその場でご質問ください。

治療の経過観察

治療開始後は1か月に1回のペースで通院いただき、定期的に歯の動きをチェック。安定してきた場合は、2~3か月に1回の通院ペースに調整します。

矯正治療の経過観察について、歯科医院の中には歯科衛生士が担当するところもありますが、当院では必ず院長自らが行っています。

これは、人の身体が予想外の反応を示すことがあるから。治療計画通りに歯が動いていない場合、専門的な判断のもとで迅速に計画を調整する必要があります。

当院では綿密な治療計画を立案するため、イレギュラーな事態が起きることはめったにありませんが、万一の場合にも対応できるよう院長が直接チェックする体制を整備。

歯の動きを細かく確認し、必要に応じて治療方針を即座に修正することで、理想の歯並びへと確実に導けるよう念を入れています。

ご来院の際は歯のクリーニングも実施し、お口の健康維持もサポートいたします。

治療中にお悩みや疑問点が出てきましたらお気軽にご相談ください。

治療期間

矯正方法や歯並びの状態によって治療期間は異なりますが、通常は1~5年ほどで完了します。

患者さまがきれいな歯並びと美しい笑顔を手に入れられるよう、お手伝いいたします。

保定期間に移行

歯並びが矯正前の状態に戻る「後戻り」が起きないようにするための期間です。

保定期間の目安はおよそ半年。この間は、「リテーナー」と呼ばれる透明マウスピース型の装置を着けて歯並びを安定させます。

保定期間中も定期的な通院が必要です。後戻りの兆候がないかを確認するため、2~3か月に1回のペースでご来院ください。状態が安定してきたら通院間隔を少しずつ延ばしていきましょう。

なお、保定期間終了後も就寝時のリテーナー装着を続けることで、きれいな歯並びを保ちやすくなります。

当院の矯正治療


 

どうぞお気軽に
ご相談ください

歯並びの無料相談を実施中。治療後の歯並びをイメージできるシミュレーションも可能です。

  • 私の歯並びは治せますか?
  • 治療費と治療期間は?
  • 抜歯しないで治せますか?

まずは一度ご相談にいらしてください。

診療時間
9:30~13:00
14:30~20:00

─:休診日  ▲:9:00~13:00/14:00~18:00

奈良県北葛城郡上牧町服部台4-5-1 「王寺駅」下牧南口下車 徒歩5分、「五位堂駅」服部下車 徒歩2分。奈良市、香芝市、大和高田市、上牧町、王寺町、広陵町、河合町、香芝IC、法隆寺ICから車15分

診療時間

 
午前
午後

午前:9:30~13:00
午後:14:30~20:00
▲:午前:9:00~13:00
午後:14:00~18:00
休診日:木曜・日曜・祝日

奈良北葛城 矯正歯科相談室
医療法人 西川歯科医院

〒639-0212
奈良県北葛城郡上牧町服部台4-5-1

「王寺駅」下牧南口下車 徒歩5分、「五位堂駅」服部下車 徒歩2分
「香芝IC」車7分、「法隆寺IC」車10分
香芝市、大和高田市、上牧町、王寺町、広陵町、河合町から車15分